Archives of Pulmonology and Respiratory Care
1Thoracic Endoscopy Unit, S. Camillo Forlanini Hospital, Rome, Italy
2Thoracic Surgery Unit, Second University of Naples, Italy
3Thoracic Endoscopic Unit, V.Monaldi Hospital, Naples, Italy
Cite this as
Caterino U, Batzella S, Lucantoni G, Fiorelli A, Santini M, et al. The Endoscopic Treatment of Tracheo-bronchial Amyloidosis: A Challenging Issue. Arch Pulmonol Respir Care. 2015; 1(1): 011-013. Available from: 10.17352/aprc.000003
Copyright License
© 2015 Caterino U, et al. This is an open-access article distributed under the terms of the Creative Commons Attribution License, which permits unrestricted use, distribution, and reproduction in any medium, provided the original author and source are credited.Tracheo-bronchial amyloidosis is a rare airway disorder that can be a challenge for the limitations of treatment, recurrence and complications. We report the complex clinical course of a patient with symptomatic localized tracheo-bronchial amyloidosis. Different procedures were performed due to recurrent amyloid over a period of three and half years from the first endoscopic resection
Localized Tracheo-bronchial Amyloidosis (TBA) represents a rare benign tumor causing irregular and complex airway stenosis due to the deposition of insoluble fibril proteins in airway wall [1,2]. Its management may require repeated interventions to treat recurrences and maintain airway patency. We report the clinical course of a patient with symptomatic localized recurrent TBA who was repeatedly treated using different bronchoscopic procedures over a period of three and half years from the first resection.
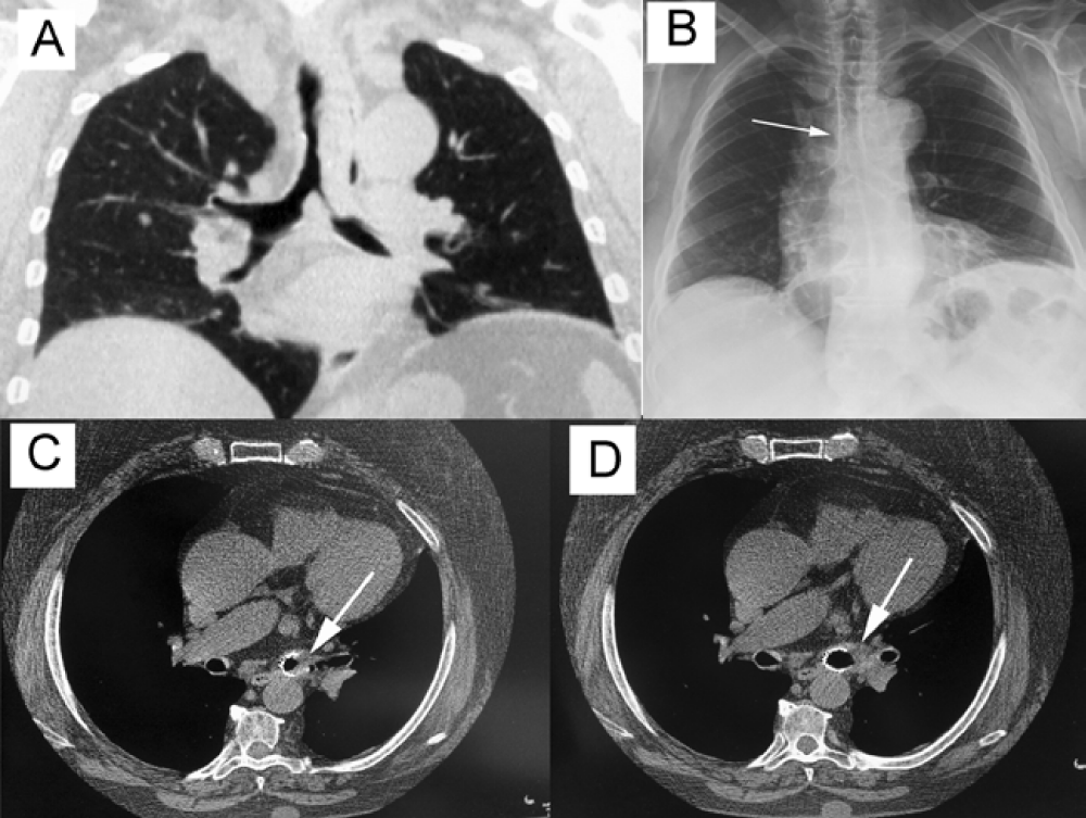
In May 2011, a 67-year-old woman without any past medical history was admitted to our hospital for increasing dyspnea and hemoptysis. On computed tomography severe tracheobronchial stenosis obstructing distal trachea and almost completely the main stem left bronchus was observed (Figure 1A). Endoscopy biopsy was suggestive of amyloidosis.
The mass was completely resected via rigid bronchoscopy. A Y-shaped covered, self-expandable metallic stent (SEMS) was then inserted to assure airway patency (Figure 1B).
The airway patency was assessed every 3 months if no symptoms was observed for some time.
Twelve months later, she returned to our attention because of recurrent pneumonia. An exophitic lesion within main stem left bronchus at distal end of stent was placed on CT scan (Figure 1C).
A biopsy specimen obtained during flexible bronchoscopy was diagnostic of recurrence of disease.
A mechanical recanalization and Nd/YAG laser irradiation using rigid bronchoscopy was performed.
No complications were seen and the patient reported an improvement of respiratory function with patent left bronchus (Figure 1D). Seven months later, an endoscopic re-canalization was necessary to re-establish the airway patency owing to amyloid recurrence at the same site.
Successively systemic therapy with colchicine, melphalan, and corticosteroids associated to sequential radiotherapy (20 Gy in 10 fractions over two weeks) were performed.
In November 2013 she presented to the emergency department of our institution with acute dyspnea and stridor.
CT scan and emergency bronchoscopy revealed endobronchial mass obstructing the left and tracheal limbs of the Y shaped stent respectively (Figure 2A, 2B).
Two SEMSs were sequentially placed in left mainstem bronchus (Figure 2C) and trachea (Figure 2D) and recanalization of obstructed airway was obtained with improvement of symptoms.
Radiological evaluation Figure 3A, 3B showed the correct position of Y-Stent and of the additional two SEMSs with complete re-expansion of both lungs without sign of atelectasis. Nevertheless the patient died three months later from cardiac failure.
Localized TBA is an uncommon disorder. The progressive amyloid growth in the bronchial wall leads to post-obstructive pneumonia as a results of bronchial stenosis. There is no pharmacologic therapy. Management of TBA depends on airway involvement. Treatment includes intermittent bronchoscopic or surgical resection [1,2], Nd/YAG laser irradiation, and external radiotherapy [3]. In the absence of systemic disease, the clinical course of localized TBA may not be benign.
In the study of [4], 3 of 7 patients died of respiratory failure or recurrent pneumonia secondary to bronchial obstruction.
In the series published by Utz from Mayo Clinic [5], 3 out of 4 patients with TBA died at 79, 28 and 42 months by the last follow-up.
The present case is unique because all above reported procedures for the treatment of localized TBA were applied in the same patient at different times of follow-up due to the persistent recurrences: (i) firstly, the mass was completely removed by mechanical resection during rigid bronchoscopy and a Y-shaped SEMS was place to assure airway patency. (ii) Two additional endoscopic procedures were performed intervals of 12 and 19 months, respectively. To avoid the excessive bleeding due to friable nature of the amyloid tissue, during mechanical resection we used Nd-YAG laser therapy. (iii) As reported by Kurrus [6] and Nebben-Wittich [7], in July 2013 an external radiotherapy with use of 20 Gy in 10 fractions was performed due to failure of systemic therapy.(iv) Finally, local progression of disease caused 90% obstruction of left main stem bronchus and 50% obstruction of trachea. Sequential placement of two SEMS in the left and tracheal limbs of the Y shaped stent respectively, represents the unique strategy to preserve air patency in case of difficult to remove Y-stent due to its embedding in the bronchial mucosa and epithelialization of the inner surface.
The patient died three months later from cardiac failure probably due to cardiac amyloid deposits.
The management of TBA and its recurrences may require different approaches aiming to restore airway patency. However, despite the benignity of pathology and the localized form of disease, the prognosis remains poor.
Subscribe to our articles alerts and stay tuned.
This work is licensed under a Creative Commons Attribution 4.0 International License.

PTZ: We're glad you're here. Please click "create a new query" if you are a new visitor to our website and need further information from us.
If you are already a member of our network and need to keep track of any developments regarding a question you have already submitted, click "take me to my Query."