Authors:
Elena Ruíz Bravo-Burguillos1*, Jose Juan Pozo Kreilinger1, Jesús Manuel Muñoz Caro3 and Antonio Ríos Parra2
1Department of Pathology. Hospital Universitario La Paz. Paseo de la Castellana, 261. 28046 Madrid. Spain
2Department of Pathology. Hospital Universitario Fundación Jiménez Díaz. Avda. Reyes Católicos, 2. 28040 Madrid. Spain
3Department of Oral and Maxillofacial Surgery. Hospital Universitario La Paz. Paseo de la Castellana, 261. 28046 Madrid. Spain
Received: 08 January, 2016; Accepted: 15 January, 2016; Published: 21 January, 2016
Elena Ruíz Bravo-Burguillos. Department of Pathology. Hospital Universitario La Paz. Paseo de la Castellana, 261. 28034 Madrid. Spain, Tel: +34 91 727 73 00; Fax: +34 91 727 70 49; E-mail:
Bravo-Burguillos ER, Pozo Kreilinger JJ, Muñoz Caro JM, Parra AR (2016) Infant Odontogenic Myxoma: Case Report and Literature Review of a Specific Entity Recently Described. Arch Otolaryngol Rhinol 2(1): 006-008. DOI: 10.17352/2455-1759.000012
© 2015 Bravo-Burguillos ER, et al. This is an open-access article distributed under the terms of the Creative Commons Attribution License, which permits unrestricted use, distribution, and reproduction in any medium, provided the original author and source are credited.
Myxoma; Odontogenic tumour; Myxomatous tumour; Maxillary tumour; Infant; Children; Paediatric
Odontogenic myxomas are benign mesenchymal neoplasm most of them diagnosed in adults. They are uncommon in the paediatric population and exceptional in infants, with only 21 cases reported in the literature under the age of 2 years. We present a new case of infant odontogenic myxoma, that share the same clinical and radiological presentation with the cases described in the literature. They all presented with a painless paranasal swelling of short-term evolution, usually a few weeks duration (while in children or adults tumours usually develop slowly) and a well-defined, intraosseous, expansible lytic tumour of 3 cm average size in CT-scan examination. Most cases underwent enucleation and curettage with a very low rate of recurrences (4.76%). The aim of this article is to report a new case of this exceptional tumour, whose diagnosis was established at histologic examination. We focus on the importance to undergo a conservative approach in this infant population to minimize the surgical morbidity.
Introduction
Odontogenic myxomas are intraosseous benign neoplasm most of them diagnosed in adults in the third decade of life [1]. Their frequency varies in different parts of the world between 3-20% of all odontogenic tumours. Two thirds occur in the mandible and one third in the maxilla, usually associated with a tooth germ. This tumour is uncommon in the paediatric population and exceptional in infants (under 2 years) with only 21 cases described in the literature [2].
Radiographically, this tumour is unilocular, with well-defined and corticated borders and most of them grow slowly. As the myxoma grows, it develops a multilocular pattern and clinically is evident a painless swelling [1]. The larger lesions have a soap-bubble radiographic image, similar to ameloblastoma and may present poorly defined borders, with root displacements or periosteal reactions.
Histologically, these lesions shows randomly orientated spindle or stellate-shaped cells set in a mucoid or myxoid matrix with a few delicate collagen fibers [1]. The neoplasm tends to permeate into the adjacent bony trabeculae in a pseudo-malignant pattern.
This tendency of odontogenic myxomas to permeate into marrow spaces makes effective enucleation and curettage difficult. For small neoplasm, aggressive curettage may be adequate, but large lesions may require wide resection with free margins to prevent recurrences. Recurrence rates average about 25% and usually occur during the first 2 years after excision [1]. However, the literature review of infant odontogenic myxomas shows a low rate of recurrences after conservative surgery (4.76%) [2].
These tumours do not metastasize and although malignant transformation to myxosarcoma has been reported is a rare event [3].
Case Report
A healthy 21-month-old male, with no relevant personal or family medical history, presented to our hospital with a persistent swelling on the right side of his face after a minor trauma a few weeks before. The patient had persistent swelling that had no regressed. On physical examination there was an indurated, fixed 4cm mass in his right nasolabial groove, adjacent to the right anterior maxillary wall. The lesion did not enlarge with crying. The overlying skin was normal. Eye position and extra ocular motion were normal. An intraoral examination showed obliteration of the maxillary vestibule. Clinically the lesion looked like a mucocele.
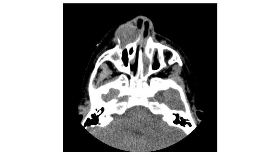
In CT-scan examination there was a low-density lesion arising within the anterior medial aspect of the left maxillary bone with erosion of the maxillary sinus and the lateral nasal wall (Figure 1). There was separation of the mass from the nasal-lacrimal duct. Taking into account the history of trauma to the area, the CT scan concluded that the lesion was compatible with post-traumatic cyst.
- Lo Muzio L, Nocini P, Favia G, Procaccini M, Mignogna MD (1996) Odontogenic myxoma of the jaws: a clinical, radiologic, immunohistochemical, and ultrastructural study. Oral Surg Oral Med Oral Pathol Oral Radiol Endod 82: 426-433.
- Kadlub N, Mbou VB, Leboulanger N, Lepointe HD, Ansari E, et al. (2014) Infant Odontogenic Myxoma: a specific entity. J Craniomaxillofac Surg 42: 2082-2086.
- Pahl S, Henn W, Binger T, Stein U, Remberger K (2000) Malignant odontogenic myxoma of the maxilla: case with cytogenetic confirmation. J Laryngol Otol 114: 533-535.
- Suarez PA, Batsakis JG, El-Naggar AK (1996) Don´t confuse dental soft tissues with odontogenic tumors Ann Otol Rhinol Laryngol 105: 490-494.
- James DR, Lucas VS (2014) Maxillary myxoma in a child of 11 months. A case report. J Craniomaxillofac Surg 15: 42-44.
- Leiberman A, Forte V, Thorner P, Crysdale W (1990) Maxillary myxoma in children. Int J Pediatr Otorhinolaryngol 18: 277-284.
- Prasannan L, Warren L, Herzog CE, Lopez-Camarillo L, Frankel L, et al. (2005) Sinonasal myxoma: a pediatric case. J Pediatr Hematol Oncol 27: 90-92.
- Iatrou IA, Theologie-Lygidakis N, Leventis MD, Michail-Strantzia C (2010) Sinonasal myxoma in an infant. J Craniofac Surg 21: 1649-1651.
- Rotenberg BW, Daniel SJ, Nish IA, Ngan BY, Forte V (2004) Myxomatous lesions of the maxilla in children: a case series and review of management. Int J Pediatr Otorhinolaryngol 68: 1251-1256.
- Kansy K, Juergens P, Krol Z, Paulussen M, Baumhoer D, et al. (2012) Odontogenic myxoma: diagnostic and therapeutic challenges in paediatric and adult patients--a case series and review of the literature. J Craniomaxillofac Surg 40: 271-276.





Figure 1:
Enucleation of the tumour was performed with curettage of the surrounding bone through a vestibular incision. The patient recovered uneventfully from surgery.
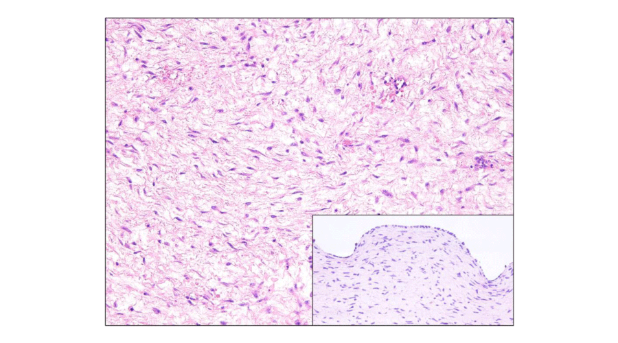
On gross pathology, the largest dimension of the lesion was 4cm and it was gelatinous with pale brown colour. Histology revealed a myxoid tumour with haphazardly arranged stellate to spindle-shaped cells in a mucoid-rich intercellular matrix (Figure 2). The cells had an eosinophilic cytoplasm, small round hyperchromatic nuclei and fine chromatin. There was not cellular pleomorphism or nuclear atypia. Immunohistochemical staining was positive for vimentin and the proliferation index in the MIB-1 reaction was 5%. The staining was negative for Bcl-2, ALK1, CD31, CD34, CD68, calponin, desmin, myogenin, smooth muscle actin and S-100. The final diagnosis was odontogenic myxoma. The patient showed no signs of recurrence after a follow-up period of 10 months.
Figure 2:
Discussion
Odontogenic myxomas are considered to be benign, slow-growing tumours that occur most commonly in the mandible of young adults. They usually present as a slow, painless bony expansion and radiographically, the lesion frequently appears as a unit or multilocular radiolucency with well-defined margins [1]. To our knowledge, 21 cases have been described in infants in the international literature [2]. All these patients, as well as our case, share a characteristic clinical and radiological presentation. Infants (18.19 months old) present with a fixed paranasal mass (100% cases) of few weeks evolution showing in the TC-scan a unilocular, homogeneous lytic tumour developed from the maxilla. 71.43 % underwent conservative surgery with only 4.76% recurrences after a follow-up period of 3.068 years.
The histological appearance of our case is similar to those described in the literature. These lesions resemble the mesenchymal portion of a developing tooth. Macroscopically they are gelatinous masses with well-defined borders but a true capsule is absent. Microscopic examinations show a myxoid background with randomly orientated stellate-shaped fibroblastic cells and a few delicate collagen fibres. Some myxomas may show areas with a little more collagen production and they are termed fibromyxomas or myxofibromas. Binucleated cells, mild pleomorphism and mitotic figures may occur, but these lesions do not behave differently. Immunohistochemically tumoral cells usually react with antibodies to vimentin and muscle-specific actin [1].
Myxomas are commonly associated with unerupted teeth and probably arise from the mesenchymal portion of the tooth germ. The histology of immature dental tissues (dental papillae and follicles) and dental pulp is very similar to myxomas, so these structures are the most commonly mistaken histopathologically for this tumor [4]. Dental papilla is composed of stellate and fusiform cells set in a myxoid matrix with delicate collagen fibres. However, this tissue is always lined, at least focally, by a rim of odontoblasts. A dental follicle can also show a myxoid appearance. This tissue is lined along one margin by reduced enamel epithelium (Figure 3). This features, together with a clinical-radiologic correlation, help to distinguish these normal dental tissues from odontogenic myxoma. Others central entities that enters into the histological differential diagnosis are tumours with a myxoid background: myxoid neurofibroma, chondromyxoid fibroma, myxoid chondrosarcoma and the myxoid variant of desmoid fibromatosis. Myxoid neurofibroma presents numerous mast cells, a positive S-100 immunohistochemical reaction, and zones with organization of the collagen and lesional cells into broad fascicles. Chondromyxoid fibroma and myxoid chondrosarcoma should show some area with chondroid differentiation and, in the latter one, cellular atypia. The myxoid variant of desmoide fibromatosis presents focal areas with dense collagen bundles. Cranial fasciitis can also have a prominent myxoid background, but this is a extraosseous lesion and express smooth muscle actin. Three cases described in the literature were initially misdiagnosed histopathology as nodular fasciitis [2,5,6].
Treatment of this lesion consists of surgical resection, but the extent of the resection is controversial. Some authors support a radical surgery with wide clear margins [7,8]. However, there may be the doubt whether to perform a wide surgical excision in children or not, given this is a benign disease. So others authors suggest a conservative excision or curettage [9,10]. In the series of infant patients treated with conservative excision there is no clinical or radiological evidence of recurrence over a median follow-up period of 3 years. These results suggest that in the infants conservative surgical treatment is an effective therapy. The tumour is neither radiosensitive nor chemosensitive.
As the neoplasm is located in or near the maxilla, initial clinical misdiagnosis is not rare. Clinically differential diagnosis of a middline mass include a wide variety of benign and malignant tumours: encephalocele, dermoid, glioma, hamartoma, lymphangioma, rhabdomiosarcoma, neurofibroma and nasolacrimal duct cyst. In our case, the diagnosis of myxoma was not initially suggested clinically or radiologically and a diagnosis of mucocele and post-traumatic cyst were suggested.
This case highlights the importance of including odontogenic myxoma in the differential diagnosis of lesions in the maxilla of infants. The unusual clinical behaviour of this tumour as a rapidly expansile lesion and the different entities that simule odontogenic myxoma underline the difficulty in making a correct diagnosis, that requires interaction among pathologist, radiologist and clinician. As we have already discussed, review of the literature suggests that a conservative surgery should be the initial surgical approach in infants.