Authors:
Bipin Kishore Prasad1* and Suresh Mokamati2
1Military Hospital, Kirkee, Range Hills, Pune – 411020, Maharashtra, India
2Armed Forces Medical College, Pune, India
Received: 02 March, 2016; Accepted: 23 March, 2016; Published: 25 March, 2016
BK. Prasad, Professor of ENT, Military Hospital, Kirkee, Range Hills, Pune – 411020, Maharashtra, India, Tel: +91 8698075965; E-mail:
Prasad BK, Mokamati S (2016) Tertiary Nasal Syphilis: Rare But Still a Reality. Arch Otolaryngol Rhinol 2(1): 013-015. DOI: 10.17352/2455-1759.000014
© 2015 Prasad BK, et al. This is an open-access article distributed under the terms of the Creative Commons Attribution License, which permits unrestricted use, distribution, and reproduction in any medium, provided the original author and source are credited.
Introduction
Tertiary syphilis shows most marked manifestations in the nose causing superficial and deep ulcerations and gumma. Gummatous deposit may occur in any portion of the nose. The deformity resulting from the destruction of the bony frame work of the nose and the shrinking of fibroid tissue produces typical saddle nose which is characteristic of syphilis. It is important to establish the diagnosis after carefully ruling out other clinical possibilities and confirming Treponemal infection by laboratory evaluation. The respiratory tract, next to skin, furnishes the most frequent manifestations of syphilis. Syphilis of the nose is acknowledged by all authorities to be very rare. One such case is reported for its rarity.
Case Report
An 81 years old male presented with complaints of nasal discharge and crusting for 3 years, anosmia for 1 year and nasal deformity since 6 months. Nasal discharge was mucoid but viscid, associated with crusting, nasal obstruction and occasional epistaxis. Nasal deformity, in the form of depression of nose, gradually worsened and developed into a saddle, associated with redness over nose and surrounding area. He also recounted 4 episodes of shedding of fleshy bits from nose in last 6 months. The patient, however, denied any complaint of trauma to nose, cough, chest pain, dyspnoea, hematuria, sexual promiscuity (last sexual contact with wife 15-20 years back), anaesthetic skin patches, raised lesions on skin, joint pains, redness or swelling of pinna, mouth or genital ulcers, redness of eyes, diabetes, hypertension or weight loss.
His vital signs were found to be normal. External nasal framework showed saddle nose involving bony as well as cartilaginous portion (Figure 1), swelling at right side of nose, ulceration at philtrum, vestibule and nasal tip and destruction of the nasal septum (Figure 2).





Figure 1:
Figure 2:
Anterior rhinoscopy revealed a single large nasal cavity with destruction of cartilagenous septum, a part of bony septum and both inferior turbinates. Crusting was present in both nasal cavities associated with purulent blood stained discharge. Nasopharynx, oral cavity, oropharynx, orbital ridges, eyeballs, and rest of the face were normal.
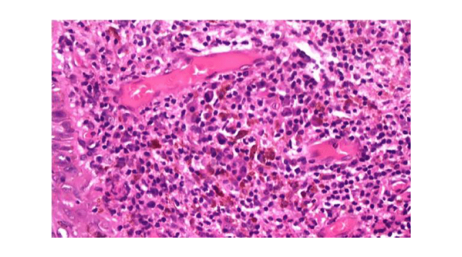
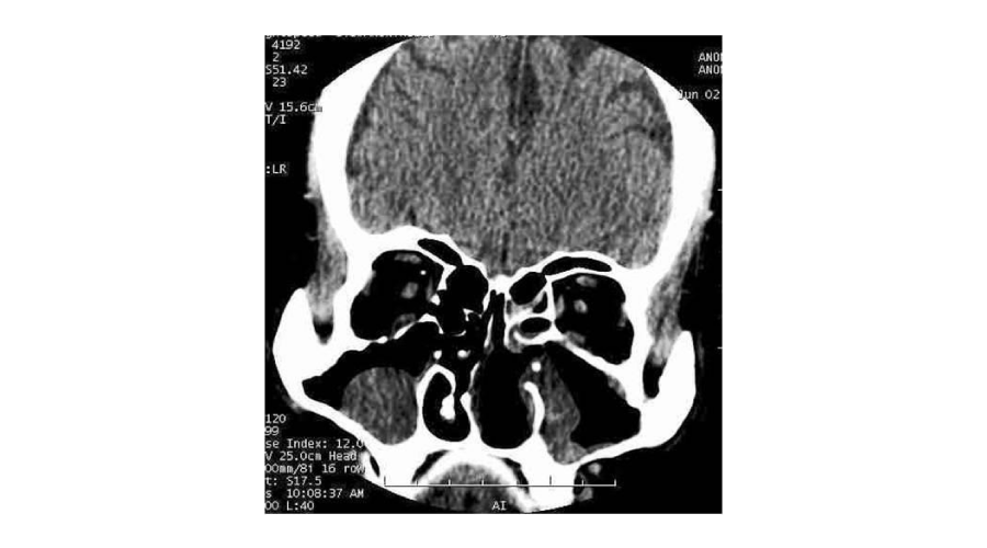
CT scan of nose and PNS revealed destruction of turbinates and that of cartilaginous and bony septum (Figure 3). Biopsy from nasal tissue showed plasma cell infiltrate with evidence of endarteritis (Figure 4). The patient was evaluated as a case of Secondary atrophic rhinitis with the goal to arrive at the etiology. Blood counts, liver functional tests, renal function test, routine and microscopic examination of urine, Mantoux test, chest radiograph were normal.
Figure 3:
Figure 4:
ELISA for HIV, HBsAg, Anti HCV, VDRL, P-ANCA, C-ANCA and ANA were negative.
ESR was 38 mm/ hr in first hour. CSF examination revealed negative VDRL reaction and normal biochemical parameters. Echocardiography showed aortic valve sclerosis. C - reactive protein turned out to be positive, suggesting an inflammatory pathology. Nasal smear and slit skin smear were negative for Acid fast bacilli and Leishmania Donovani bodies. Trepanoma Pallidum Haemagglutination (TPHA) test for syphilis was reported positive with 1:160 dilution clinching the diagnosis as Tertiary Syphilis with specific single organ damage.
The patient was treated with 2.4 million units of intramuscular injection of Benzathine. Penicillin every week for three weeks. He is presently using local nasal douching with normal saline and baking soda with good benefit. His symptoms of nasal discharge and crusting innasal cavity are well under control. The ulcer at the philtrum has healed and the swelling of right side of nose has reduced implying significant improvement in the inflammatory changes. Our patient, citing his advanced age at 81 years, is not willing for option of reconstructive surgery for his nose.
Discussion
Syphilis is a systemic disease caused by the spirochete Treponema pallidum [1]. It occurs exclusively in humans; there is no animal reservoir [2]. Approximately 90% of all syphilis is sexually transmitted. Exposure mainly occurs during oral, anal or vaginal intercourse.
Transmission occurs through direct contact with infectious exudates from moist skin lesions or mucus membranes of infected persons during sexual contact [3].
The disease is classified as congenital or acquired. Congenital syphilis is divided into early (first 2 years) and late, including stigmata of congenital syphilis. Acquired syphilis is divided into early and late. The European Centre for Disease Prevention and Control (ECDC) defines early syphilis as syphilis acquired <1 year previously and World Health Organisation (WHO) as syphilis acquired <2 years previously. Early syphilis includes primary, secondary and early latent syphilis. Late syphilis includes late latent and tertiary syphilis (gummatous, cardiovascular and neurosyphilis). The ECDC defines late syphilis as syphilis acquired >1 year previously and the WHO defines it as syphilis acquired >2 years previously [4,5]. All stages of syphilis may manifest with head and neck findings [6].
The third stage of syphilis shows most marked manifestations in nose, causing superficial and deep ulcerations, and gumma. Gummatous deposit may occur in any portion of the nose. The most frequent site is the septum and floor of the cavity. It commences most frequently in the submucous tissues, extending both to the surface and the deeper tissues with subsequent degeneration, resulting in superficial or deep ulcerations. The periosteum or perichondrium becomes involved, and later there is necrosis of the bony structures. The septum is a frequent site of pathology, especially the junction of the cartilaginous with the bony septum, resulting in perforation. Where the bony septum is involved, existence of syphilis is unquestionable.
The deformity resulting from destruction of bony framework of nose and shrinking of fibroid tissue produces the typical saddle nose which is characteristic of syphilis7.
Co-infection of syphilis and HIV is common as both are sexually transmitted infections. Syphilis can enhance the acquisition of HIV. Syphilis in the HIV-infected individual can behighly aggressive. Patients can progress from primary to tertiary syphilis over several years, as opposed to several decades in individuals not infected with HIV. They are at increased risk to manifest a more protracted and malignant course which includes more constitutional symptoms, greater organ involvement, atypical and florid skin rashes, multiple genital ulcers, concomitant chancre during the second stage, and a significant predisposition to develop symptomatic neurosyphilis, especially uveitis [7].
Patients suspected of having syphilis are usually screened with nontreponemal tests, including the Venereal Disease Research Laboratory (VDRL) test [8]. Although the chancre may develop within one week of exposure, IgM antibodies take 2 to 3 weeks to be detectable during which time patients may have negative nontreponemal tests [9]. During this gap, dark-field microscopy is an invaluable tool for directly visualizing pathogens from chancre fluid; however, this method requires special equipment and experienced technicians. Patients with a positive VDRL test should undergo specific treponemal testing, such as the fluorescent treponemal antibody absorption (FTA-ABS) assay or the T. pallidum particle agglutination (TPHA) test to confirm infection with T. pallidum. Persons with confirmed syphilis should always be tested for HIV.
The characteristic lesion of tertiary syphilis on histopathological examination is ‘gumma’, which is characterized by nodules of plasma cells, lymphocytes, epithelioid cells and fibroblasts. Perivascular cuffing by these cells and endarteritis will cause a reduction in the lumen of blood vessels causing necrosis and ulceration.
The treatment plan for syphilis remains relatively unchanged in recent years and continues to vary with stage of infection. Primary, secondary, and early latent syphilis can be treated with a single intramuscular dose of 2.4 million units of Benzathine penicillin. A longer treatment course of 2.4 million units of intramuscular Benzathine penicillin every week for three weeks is recommended for late latent syphilis, for tertiary syphilis, or if infection duration is unknown. Neurosyphilis requires 3 to 4 million units of intravenous aqueous crystalline penicillin G every four hours for 10 to 14 days [10]. Local treatment consists of clearance of crusts and regular cleansing of the nasal passages by copious alkaline douches one to three times a day. Yellow mercury oxide ointment may be applied locally. The purpose of local treatment is to remove the discharge and crusts, kill spirochetes, promote wound healing and epithelial growth, prevent secondary infection. Gumma responds rapidly to general antisyphilitic treatment but atrophic rhinitis and deformity may persist after the disease is cured and this may need further reconstructive surgery.
Conclusion
Tertiary syphilis is rarely seen these days; but collapsed nasal bridge with destruction of nasal septum and turbinates even without clear history of genital sore or lesions of secondary syphilis in the past should evoke high index of suspicion. Diagnosis can be made by characteristic organ involvement, histopathological picture, TPHA test being positive in spite of VDRL being negative and by response to adequate antibiotic therapy. It is very important to rule out other possible disease pathologies such as tuberculosis, lupus vulgaris, sarcoidosis, yaws, atrophic rhinitis, leprosy, scleroma, chronic glanders, leishmaniasis and benign or malignant neoplasm.