Authors:
Fatih Oghan1*, Muhammet Fatih Topuz2 and Onur Erdogan3
1Associate Professor, Dumlupinar University, Medical Faculty, Department of ORL&HNS, Turkey
2Consultant, ECEAH, Department of ORL&HNS, Turkey
3Consultant, Dumlupinar University, Medical Faculty, Department of ORL&HNS, Turkey
Received: 15 March, 2017; Accepted: 24 April, 2017; Published: 25 April, 2017
Fatih Oghan, Associate Professor, Dumlupinar University, Medical Faculty, Department of ORL&HNS, Dpu Tip Fak, Tavsanli Yolu 10 km Kutahya, Turkey, Tel: 90 505 7267375; E-mail:
Oghan F, Topuz MF, Erdogan O (2017) A New Approach for Resection of Giant Sublingual Epidermoid Cyst. Arch Otolaryngol Rhinol 3(2): 043-045. DOI: 10.17352/2455-1759.000043
© 2017 Oghan F, et al. This is an open-access article distributed under the terms of the Creative Commons Attribution License, which permits unrestricted use, distribution, and reproduction in any medium, provided the original author and source are credited.
Giant epidermoid cyst; Mouth floor; Stratum granulosum
Objective: Epidermoid cyst is a cystic malformation which is most common in second and third decades, quite rare in oral cavity, which can be congenital or acquired and does not include skin tags. In this case report, we defined a giant epidermoid cyst which is located in mouth floor involving oral and submental regions, mimicking "plunging ranula" and discussed its surgical treatment.
Case characteristics: A mass lesion measuring 5x5 cm which fills mouth floor and located in mid-cervical line was detected in a 13-year-old female patient who was admitted to our clinic with complaints of a swelling in the neck, difficulty to chew and swallow. The mass lesion was evaluated as cystic benign and measured as 6.5 x 4.5 cm on ultra-sonography examination. Tissue parts which included keratin and proteinous material were detected on fine needle aspiration biopsy (FNAB).
Treatment and prognosis: The mass lesion was excised with a blunt excision after it had been accessed with a horizontal excision over Wharton duct in the mouth. The lesion was measured 6.5 x 5 cm macroscopically and weighed 50 gr. Findings consisted with an epidermoid cyst were obtained on post-operative histo-pathological examination.
Comment: Epidermoid cysts are rare cystic malformations which are located in mouth floor. Definite diagnosis is made with histo-pathological examination although pre-operative imaging techniques are beneficial. Internal approach is preferred for cosmetic purposes despite the presence of external and internal treatment approaches.
Introduction
Epidermoid and dermoid cysts are the most common cysts of the skin. They consist 1.6-6.9% of all head and neck cysts, usually located in orbita, oral and nasal cavity [1-3], less than 0.01% of oral cavity cysts [4]. They are usually small cysts, rarely reach over 5 cm in diameter [5]. Differential diagnosis of cervical epidermoid cysts includes thyroglossal cyst, dermoid cyst, inclusion cyst, branchial cyst, sub-mandibular and sub-lingual gland infections, pleomorphic adenoma, cystic higroma, lympho-epithelial cysts, lipoma, neuro-fibroma, hemangioma and lymph-angioma [6]. In this case report, we aimed to present a giant epidermoid cyst located in mouth floor, involves oral and sub-mental region and to discuss treatment method under the light of literature data.
Case
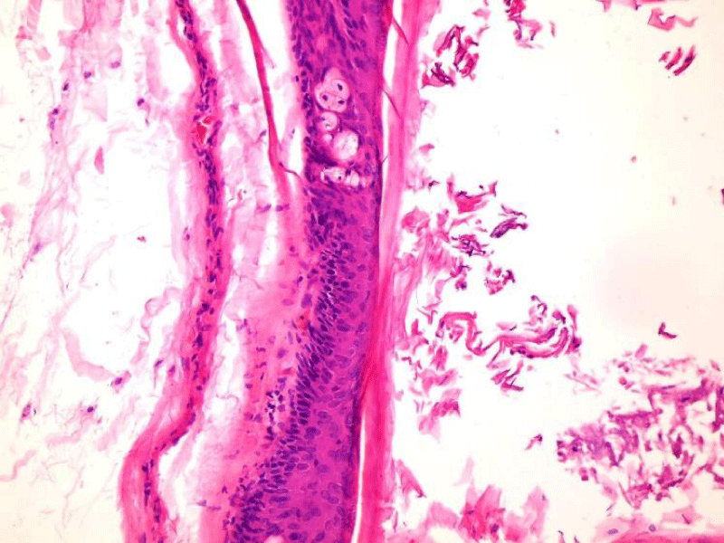
A 13-year-old female patient was admitted to our clinic with complaints of a gradually growing swelling in cervical region leading to difficulty to chew and swallow which was noticed approximately one year ago. A mass lesion measuring approximately 5x5 cm, filling mouth floor and could be observed on mid-cervical line on inspection, which is smooth, soft, mobile and which does not show heat increase was detected on physical examination (Figures 1,2). The mass lesion had a purplish protruded swelling mimicking plunning ranula in sub-mental region, it did not move with tongue movements. The patient had cosmetic concerns due to the lesion and it also had a disturbing appearance. Hemogram and biochemical analyses were normal. Ultra-sonography examination revealed a smooth, avascular, mobile, dense, cystic lesion measuring 6.5 x 4.5 cm. Tissue parts containing keratin and proteinous material were detected on FNAB examination. The patient and the family were informed about internal and external approaches and internal approach was recommended. Written informed consent was obtained from the patient and the family. A 3 cm of horizontal incision was done from 1.5 cm posterior of anterior incisors between Wharton ducts by preserving them under general anesthesia and the mass lesion was accessed after resection of soft tissues (Figures 3,4). The lesion was released over mylo-hyoid muscle and neighboring tissues by preserving its capsula and removed thereafter. It was seen not to adhere to hyoid bone and other tissues, consistently with its benign nature. Mouth floor was repaired with primary suturing. No post-operative complications occurred. The mass lesion was measured as 6.5 x 5 cm and weighed 50 gr. ((Figures 5,6). A cystic lesion covered with squamous epithelium and keratinized cystic structure was observed. Basophilic "dot like" staining was observed in acidophilic stratum corneum and stratum granulosum (Figure 7). No post-operative complications occurred and recurrence was not detected in 2-year follow up.



Figure 1:
Figure 2:
Figure 3:
Figure 4:
Figure 5:
Figure 6:
Figure 7:
Discussion
Approximately 80% of neck masses except benign thyroid diseases are of neoplastic origin, this ratio reaches 90% after 5th decade [7]. However 85% of neck masses are of infectious and congenital in pediatric and adult groups [7]. Inflammatory diseases are the most common cause of neck masses in pediatric age group [7] followed by congenital masses and neoplastic masses. While epidermoid and dermoid ctyts consist 7% of all head and neck masses, ratio of presenting in oral cavity is 1.6% [8-11].
Dermoid cysts are cystic malformations coated with squamous epithelium. They are histologically classified as dermoid, epidermoid and teratoid cysts. The cyst is defined as "epidermoid cyst" if it is coated with only squamous epithelium and does not contain skin tags; "dermoid cyst" if it contains skin tags like hair follicle, hair and at tissue; "teratoid cyst" if it contain all three germ layers like muscle, bone tissue, respiratory and gastrointestinal mucosa [12,13].
Epidermoid cysts are most common in second and third decades and equal in both gender, may be congenital or acquired. There is not clinical and histological differences between both forms. Congenital cysts are considered to develop from epithelial tissue remnants surrounded during midline closure of first and second branchial arcs. Acquired epidermoid cysts are post-traumatic or iatrogeic [14].
Epidermoid cysts are frequently located in midline in neck. Symptoms may vary depending on its being located under or over mylo-hyoid muscle. While the cysts located over the muscle lead to complaints in sublingual region, the ones located under the muscle lead to complaints in submental region [4]. Sublingual cysts may lead to difficulty to talk, chew and even respiration if they grow excessively. Our patient had complaints of difficulty to chew, swallow and mass in submental region.
Differential diagnosis of cervical epidermoid cysts include thyro-glossal cyst, dermoid cyst, inclusion cyst, branchial cyst, sub-mandibular and sub-lingual gland infection, pleomorphic adenoma, cystic higroma, lympho-epthelial cyst, lipoma, neuro-fibroma, hemangioma and lymph-angioma [6]. Physical examination findings of our patient were consistent with plunging ranula. However it was detected to be a giant epidermoid cysts as the result of pre-operative FNAB, intra-operative findings and post-operative histological findings. "Stratum granulosum" is a specific histo-pathological finding for epidermoid cysts [11]. Basophilic "dot like "staining in acidophilic stratum corneum and stratum granulosa was prominent on histo-pathological examination of the lesion. Definite diagnosis of "epidermoid cyst" was made with abovementioned histo-pathological findings.
The gold standard treatment method for epidermoid cysts of the neck is surgical excision [15]. Surgical approach varies depending on localization and size of the cyst [15]. Epidermoid cysts of the neck may be removed with intra-oral excision and large cysts may be excised both with internal and external approaches. If the cyst is too large to remove, cyst content is evacuated and may be dissected after its volume is lessened [1]. Marsupialization may be another treatment option for very large cysts [4]. Epidermoid cyst measuring 6.5 x 5 cm and weighing 50 gr was excised with intra-oral approach as a whole in our patient.
Prognosis of epidermoid cyst is usually very good. However New and Eric reported malignant transformation for dermoid cysts which also included epidermoid cysts [11]. Other papers are available in literature reporting 5% malignant transformation for teratoid type oral dermoid cysts [16]. Likelihood of recurrence or malignant transformation is quite low if the mass lesion is totally removed [4,15]. Recurrence was not observed in 2 -year follow up of our patient.
Conclusion
Imaging methods and FNAB are quite useful for differential diagnosis of all sublingual masses. However definite diagnosis can be made with histo-pathological examination. Epidermoid cysts are encapsulated masses which can easily dissected from neighboring tissues. Surgical excision is the best treatment approach for epidermoid cysts due to malignant transformation risk, although very low. Surgical approach would minimize recurrence rate, the surgeon should prefer the method which she/he practices best.
Follow us on Academia.edu
Classification
Visitors