Journal of Dental Problems and Solutions
1Department of Oral surgery, Faculty of dental medicine, Medical University, Plovdiv, Bulgaria
2Department of Oral and maxillofacial surgery, Faculty of dental medicine, Medical University, Varna, Bulgaria (PhD student)
3Department of Prosthetic Dental Medicine, Faculty of dental medicine, Medical University, Varna, Bulgaria
Cite this as
Pechalova PF, Pavlov NV, Konstantinova DA (2017) The procedure of Anteroposterior Tooth Contact Adjustment (APTCA) in Orthodontic patients. J Dent Probl Solut. 2017; 4(3): 044-047. Available from: 10.17352/2394-8418.000047
Copyright License
© 2017 Pechalova PF, et al. This is an open-access article distributed under the terms of the Creative Commons Attribution License, which permits unrestricted use, distribution, and reproduction in any medium, provided the original author and source are credited.Orthodontic relapse is the major concern in both adolescent and adult orthodontic treatment. The causes of orthodontic relapse are reported to be of various origins. Functional diagnostic procedures allow to report the presence of disturbances in temporomandibular joint functioning, chewing muscle functioning and tooth contacts. The T-scan computerized occlusal analysis is aimed to diagnose the presence of tooth contacts that contribute to the overall imbalance in the occlusal pattern, the presence of force outliers which contribute to excessive teeth load and the timing characteristics of the functioning occlusion. The procedure of Anteroposterior tooth contact adjustment (APTCA) was worked out to analyze the presence of factors contributing to the anterior teeth movements after the completion of orthodontic treatment and subsequently to diminish the risk of the orthodontic relapse caused by these tooth contacts.
Orthodontic relapse is the main concern regarding the stability of orthodontic treatment outcome. Various causes were reported in the literature to contribute to orthodontic relapse [1,2]. Different malocclusion types show various prevalence of tendency to relapse [3,4], moreover, different orthodontic treatment techniques can predispose to post treatment tooth movements [5]. Both type of retention appliance and the retention protocol are considered to be the main contributing factors. Both occlusal contacts are targeted during orthodontic relapse examination [6-8] and electromyographic activity of chewing muscles [9].
Occlusal relationships were reported to cause tooth movements after the completion of orthodontic treatment [10,11] as well as signs and symptoms of temporo-mandibular dysfunction [12,13]. T-scan occlusal analysis (Tekskan, USA) was used to analyze occlusal relationships [14] and the distribution of forces during functional jaw movements [8,9,15-18]. Detailed time report can be acquired as well as the duration of tooth contacts in different jaw movements and positions with the use of T-scan occlusal analysis. T-scan computerized occlusal analysis is currently the only procedure which can be used to calculate the amount of relative force and the duration of contacts along the dental arches.
We have developed a T-scan based occlusal analysis procedure which can be used to reveal contacts which contribute to orthodontic relapse after the completion of treatment
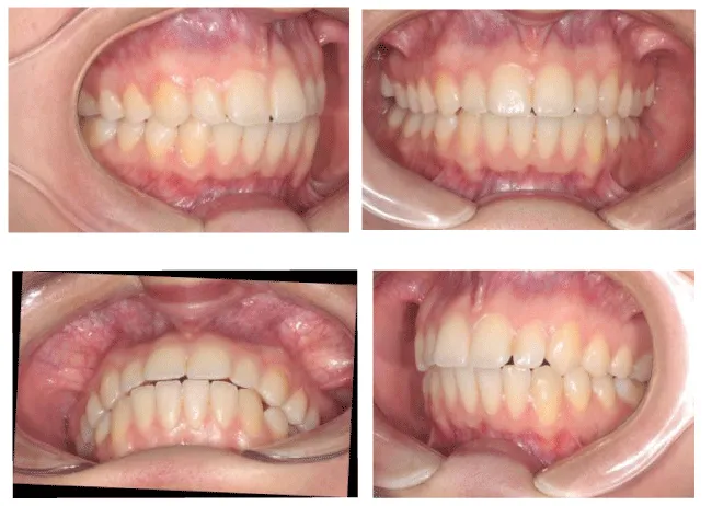
Computer-guided occlusal adjustment named anteroposterior tooth contact adjustment (APTCA) is an orthodontic alternative to the earlier described technique of Immediate Complete Anterior Guidance Development (ICAGD), first introduced by Kerstein in 1992 [19]. The APTCA technique is aimed to lessen anterior tooth movements caused by contacts on posterior teeth that prolong disclusion time, thus decreasing the risk of orthodontic relapse in the upper anterior region (Figure 1).
Newly established orthodontic occlusion lacks multiple contacts and the remaining contacts are not balanced to perform smooth lateral excursions.
The procedure of the APTCA goes in the following sequence. After debanding patient is examined with T-scan III occlusal analysis procedure. The recording sequence is: centric occlusion, multi-bite, left lateral, and right lateral. Then occlusal foil (8 microns, Arti-Fol, Bausch, Germany) is placed between the teeth, patient is then asked to bite with the articulating paper in the mouth (Figure 2). Operator holds the articulating paper while the patient bites in his centric occlusion. These marks are then compared to the occlusal contacts viewed on the screen in patient`s centric occlusion recording (Figure 3). The highest forces on the teeth, which are seen on the screen exceeding the overall force level of 82%, have to be eliminated in the mouth. The force outliers on the screen are compared with paper marks on the patient`s teeth. The level of force does not usually correlate with the size of the occlusal mark. As described by Kerstein [20], small paper marks often tend to exhibit higher forces than larger marks.
After having eliminated extremely high forces marked in red and purple in centric occlusion, lateral excursions are analyzed. The purpose of lateral excursion recording is, first, to determine the time of disclusion (DT), and, secondly, to eliminate any contact on posterior maxillary and mandibular molars that prolongs the DT. One of these contacts, as shown in the case reports [10,11], is potentially prone to cause either buccal inclination of anterior teeth, or their rotation.
The APTCA procedure is implemented by disclusion time reduction, which was first described by Kerstein [19,21], in the region on posterior teeth, both maxillary and mandibular. First patient is asked to bite on the sensor in his centric occlusion and then slightly move to canine edge-to-edge contact (Figure 4). The recording is then analyzed and the DT is checked (Figure 5). DT should not exceed 0,5 seconds [20]. Then the patient is asked to occlude his teeth in centric occlusion with green occlusal paper between his teeth. The excursive movement is afterwards performed with the use of red occlusal paper to mark excursive contacts. The method implements two colors of occlusal paper to mark centric occlusal contacts in green and excursive contacts in red. Red marks are easily recognizable and can be removed according to canine guidance scheme. The aim of APTCA is to achieve pure canine guidance in 0,5 seconds, eliminating posterior excursive contacts primarily. These contacts are consequently removed after each recording. The patient performs excursive movement with a sensor, paper marks are checked in the mouth, then excursive contacts removed on posterior teeth, and again the patient is asked to bite the sensor. It may take up to 8-10 cycles of repeated adjustment to achieve proper DT on the working side. The same procedure is done on the opposite side, when the patient performs lateral movement on the opposite working side.
Great emphasis is put on eliminating working contacts on the teeth posterior to ipsilateral canine. If teeth are already severely worn or sensitivity level is high, or canine is worn itself, canine`s restoration is essential to restore proper function and secure post treatment stability.
Excursive movements are performed on each side, both left and right. (Figure 6). Disclusion time is analyzed and compared to the estimated normal time of 0,5 seconds. Any contacts on both working and non-working sides which tend to prolong the discussion time should be eliminated.
Protrusion movement is of a great value as well (Figure 7). The discussion time in protrusive movements is also expected to be not more than 0,5 seconds (Figure 8). Any contacts tending to prolong discussion time in protrusive movement will tend to move the upper anterior teeth in buccal direction. The distribution of posterior contacts causes selective influence on anterior teeth.
Patients` concern about orthodontic stability raises the point of seeking different approaches to finishing orthodontic cases. Both different kinds of orthodontic retainers and settling procedures try to establish optimum and stable results. This chapter introduces the concept of functional corrections by T-scan III occlusal analysis system. The newly developed anteroposterior tooth contact adjustment (APTCA) procedure decreases the risk of orthodontic relapse caused by posterior excursive contacts. The implementation of the APTCA procedure is outlined and the main characteristics of T-scan III software are given. The APTCA procedure is aimed to secure orthodontic treatment stability and eliminate any functional interferences, which may later cause muscle and TMJ dysfunctions.
Subscribe to our articles alerts and stay tuned.
This work is licensed under a Creative Commons Attribution 4.0 International License.

If you are already a member of our network and need to keep track of any developments regarding a question you have already submitted, click "take me to my Query."